Publicidad
 
14/08/2025

Ezequiel de la Rosa, el roquense que con su equipo puede revolucionar a nivel mundial la detección de los ACV

Desde Zúrich, y tras formarse en cinco países, integra un desarrollo científico que utiliza inteligencia artificial para detectar lesiones cerebral en tiempo récord.
Ezequiel de la Rosa, en Europa, durante su actual etapa como investigador postdoctoral en la Universidad de Zúrich. Foto (Gentileza Ezequiel)
Ezequiel de la Rosa, en Europa, durante su actual etapa como investigador postdoctoral en la Universidad de Zúrich. Foto (Gentileza Ezequiel)

La historia de vida de Ezequiel de la Rosa comenzó en General Roca hace 35 años, y su presente lo encuentra en un momento decisivo de su carrera. Ingeniero Biomédico, formado en la Universidad Nacional de Córdoba (UNCO), actualmente integra un equipo internacional que desarrolló DeepISLES, un algoritmo capaz de identificar lesiones cerebrales en tiempo récord en pacientes con accidentes cerebrovasculares (ACV) isquémicos. El hallazgo fue publicado el 9 de agosto de 2025 en Nature Communications, una de las revistas científicas más prestigiosas del mundo.

Lee también: El jefe científico del streaming del Conicet aseguró que lo mejor fue "la repercusión en los chicos"

Su recorrido académico abarca cinco países, e incluye una maestría en procesamiento de Imágenes Médicas en la Universidad de Girona (España), la Universidad de Borgoña (Francia) y la Universidad de Cassino (Italia); y un doctorado en la Universidad Técnica de Múnich (Alemania). Si bien vive en Bruselas, trabaja como investigador postdoctoral en la Universidad de Zúrich (Suiza), donde lleva adelante este proyecto junto a especialistas de varios países.

Ezequiel, con Zúrich de fondo, donde trabaja como investigador postdoctoral en la universidad local. Foto (gentileza Ezequiel)
Ezequiel, con Zúrich de fondo, donde trabaja como investigador postdoctoral en la universidad local. Foto (gentileza Ezequiel)

 

DeepISLES se basa en Inteligencia Artificial (IA) y fue validado en el exigente desafío internacional ISLES’22, así como en imágenes de resonancia magnética provenientes de distintos hospitales del mundo. Logró mejoras de hasta +7,4 % en el índice Dice y +12,6 % en el F1-score frente a métodos previos, manteniendo su rendimiento incluso con imágenes, lesiones y pacientes muy diversos.

Uno de los hitos del desarrollo fue un “pseudo Turing test”: expertos en neurorradiología recibieron imágenes con lesiones delineadas automáticamente por DeepISLES y otras hechas manualmente por colegas, sin informarles cuáles eran de cada origen. El resultado sorprendió: los especialistas prefirieron en mayor medida las segmentaciones generadas por el algoritmo que las realizadas por otros expertos humanos.

El sistema, disponible en código abierto, puede integrarse en hospitales y centros de diagnóstico para analizar resonancias de forma casi instantánea, señalando con precisión la zona del cerebro afectada por la falta de irrigación. En la práctica, esto podría acortar drásticamente los tiempos de diagnóstico en guardias y ayudar a estandarizar la calidad de atención en todo el mundo.

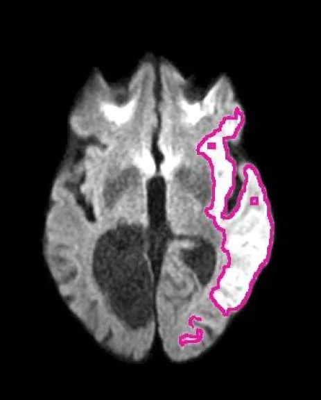
Imagen de resonancia magnética cerebral que muestra, delineada en rosa, el área afectada por un accidente cerebrovascular isquémico, detectada automáticamente por el algoritmo DeepISLES. Foto (Gentileza Ezequiel)
La imagen muestra, en rosa, el área afectada por un accidente
cerebrovascular isquémico, detectada automáticamente por DeepISLES. 

 

En el lugar donde trabaja en Zúrich se conserva un diploma que recuerda el paso de Albert Einstein por la institución, un detalle que De la Rosa considera inspirador. Para él, el impacto más importante de su trabajo será “traducir algoritmos en vidas salvadas”. Y para su mamá y su papá, Diana y Alberto, y toda su familia, el orgullo de ver que uno de los suyos ya dejó huella en la ciencia mundial.

De qué se trata el estudio:
En palabras simples, DeepISLES es como un “lector inteligente” de resonancias magnéticas. Analiza las imágenes y marca de forma automática la zona del cerebro que sufrió la lesión por la falta de riego sanguíneo, algo que los médicos hoy deben hacer manualmente y que lleva más tiempo. Detectar rápido y bien es clave, porque cada minuto que pasa sin tratamiento significa millones de neuronas menos.

*Por Candela Rossi Bustafán.

¿Cuál es tu opinión sobre la nota?